طور باحثون وحدة فك ترميز للكلام غير جراحية يمكنها ترجمة نشاط الدماغ إلى كلمات في الوقت الفعلي.
وقد تكون هذه القدرة على قراءة العقول خطوة متقدمة يمكن أن تساعد أولئك الذين لديهم وعي عقلي ولكنهم غير قادرين على التحدث جسديا، مثل أولئك الذين يعانون من السكتات الدماغية أو المصابين بمرض العصبون الحركي، على التواصل بشكل واضح من جديد.
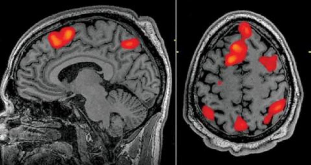
وباستخدام التصوير بالرنين المغناطيسي الوظيفي (fMRI)، أنشأ فريق من جامعة تكساس في أوستن واجهة بين الدماغ والحاسوب قادرة على إنشاء جمل كاملة بناء على ما يفكر فيه الناس.
وعلى عكس أنظمة فك تشفير اللغة الأخرى قيد التطوير، لا يتطلب هذا النظام من الأشخاص إجراء عمليات زرع جراحية، ما يجعل العملية غير جراحية. ولا يحتاج المشاركون أيضا إلى استخدام كلمات من قائمة محددة فقط.
ويتم قياس نشاط الدماغ باستخدام ماسح الرنين المغناطيسي الوظيفي بعد تدريب مكثف لوحدة فك التشفير، حيث يستمع الفرد إلى ساعات من البث الصوتي في الماسح الضوئي. ولاحقا، طبعا بشرط أن يكون المشارك منفتحا على فك تشفير أفكاره، فإن استماعه لقصة جديدة أو تخيله لرواية قصة يسمح للتقنية الجديدة بتوليد نص مطابق لنشاط الدماغ وحده.
ويقول أليكس هوث، الأستاذ المساعد في علم الأعصاب وعلوم الكمبيوتر في جامعة أوستن: "بالنسبة للطريقة غير الغازية، هذه قفزة حقيقية إلى الأمام مقارنة بما تم القيام به من قبل، وهو عبارة عن كلمات مفردة أو جمل قصيرة".
ووضع الباحثون ثلاثة أشخاص في أجهزة التصوير بالرنين المغناطيسي وجعلوهم يستمعون إلى القصص.
ويدعي الفريق أنهم أنتجوا لأول مرة نصا لأفكار المشاركين، وليس مجرد كلمات أو جمل مفردة، دون استخدام غرسة دماغية.
ولم تقم تقنية قراءة الأفكار بتكرار القصص تماما، ولكنها استحوذت على النقاط الرئيسية.
ويثير هذا الاختراق مخاوف بشأن "الخصوصية العقلية" حيث يمكن أن يكون الخطوة الأولى في التمكن من التنصت على أفكار الآخرين.
وباستخدام تقنية مشابهة لـ ChatGPT، فسرت التقنية المطورة أيضا ما كان يراه الناس عندما شاهدوا أفلاما صامتة، أو أفكارهم كما تخيلوا رواية قصة.
لكن الباحثين أشاروا إلى أن الأمر استغرق 16 ساعة من التدريب، مع الاستماع إلى البودكاست في جهاز التصوير بالرنين المغناطيسي، لنموذج الكمبيوتر لفهم أنماط أدمغتهم وتفسير ما يفكرون فيه.
وكان المشاركون قادرين على "تخريب" قدرات التقنية، باستخدام أساليب مثل سرد أسماء الحيوانات عقليا، لمنعها من قراءة أفكارهم.
وأوضح جيري تانغ، المؤلف الرئيسي للدراسة من جامعة تكساس في أوستن، إنه لا يستطيع إثبات "شعور زائف بالأمان" بأن التقنية قد لا تملك القدرة على التنصت على أفكار الناس في المستقبل، وقال إنها يمكن أن تكون كذلك وأن "يساء استخدامها".
مضيفا: "إننا نأخذ على محمل الجد المخاوف من إمكانية استخدامها لأغراض سيئة. ونريد أن نخصص الكثير من الوقت للمضي قدما لمحاولة تجنب ذلك".
وتابع: "أعتقد، في الوقت الحالي، بينما التقنية في مثل هذه الحالة المبكرة من التطوير، من المهم أن نكون استباقيين وأن نبدأ، على سبيل المثال، بسن سياسات تحمي الخصوصية العقلية للأشخاص، ومنح الناس الحق في أفكارهم وبيانات عقولهم".
ويهتم وادي السيليكون كثيرا بتكنولوجيا قراءة الأفكار التي قد تسمح يوما ما للأشخاص بالكتابة بمجرد التفكير في الكلمات التي يريدون توصيلها.
وتعمل شركة Neuralink التابعة لإيلون ماسك، على سبيل المثال، على تطوير غرسة دماغية يمكن أن توفر اتصالا مباشرا مع أجهزة الكمبيوتر.
لكن التقنية الجديدة من جامعة تكساس غير مألوفة نسبيا في مجالها، في قراءة الأفكار دون استخدام أي نوع من زراعة الدماغ، بحيث لا تكون هناك حاجة لعملية جراحية.
وفي حين أنها تتطلب حاليا جهازا ضخما ومكلفا للتصوير بالرنين المغناطيسي، فقد يرتدي الأشخاص في المستقبل رقعاً على رؤوسهم تستخدم موجات من الضوء لاختراق الدماغ وتوفير معلومات عن تدفق الدم.
واستخدمت الدراسة الجديدة التي نُشرت في مجلة Nature Neuroscience، "وحدة فك رموز"، تضم نموذجا حاسوبيا لتفسير نشاط دماغ الأشخاص وتكنولوجيا معالجة اللغة المشابهة لـChatGPT للمساعدة في إنشاء كلمات محتملة.
وبعد ساعات من التدريب، تمكنت وحدة فك التشفير من التقاط ما كان يفكر فيه الناس نصف الوقت.
والنظام حاليا غير عملي للاستخدام خارج المختبر بسبب اعتماده على الوقت الذي يحتاجه جهاز الرنين المغناطيسي الوظيفي. لكن الباحثين يعتقدون أن هذا العمل يمكن أن ينتقل إلى أنظمة تصوير دماغية أخرى أكثر قابلية للحمل.
المصدر: ديلي ميل

